Vision Restoration Breakthrough: Tiny Chip Helps Blind Patients Read Again

The chip that could cure blindness: Tiny device restores vision

Scientists have revealed that a tiny chip implanted in the eye can effectively restore vision loss. In a groundbreaking trial, patients with age-related macular degeneration (AMD) regained the ability to read using the pioneering device.

Key Takeaways

  • 84% of trial participants showed clinically meaningful vision improvement
  • Patients could read letters, numbers and words after losing complete sight
  • The 2mm chip works with AR glasses to create artificial vision
  • First device enabling reading through an eye that had lost its sight

Sheila Irvine, one of the first patients to receive the implant at Moorfields Eye Hospital, described the experience as “dead exciting.” She said, “It was dead exciting when I began seeing a letter.”

Sheila Irvine was one of the first patients to receive the implant, and described being able to see again as 'dead exciting'

Study author Professor Mahi Muqit from University College London called this development a “new era” in artificial vision history. “Blind patients are actually able to have meaningful central vision restoration, which has never been done before,” he stated.

How the Vision Restoration System Works

The chip, measuring just 2mm x 2mm and 0.03mm thick (half the width of a human hair), is implanted in the retina during a two-hour operation. Developed by Science Corporation, a California-based firm started by Max Hodak (co-founder of Neuralink with Elon Musk), the system works through an integrated process:

  • Patients wear special AR glasses with a camera that detects light from objects
  • Visual information transmits to a handheld computer that translates it into infrared patterns
  • Infrared projects back through the glasses into the eye, hitting the retinal chip
  • The chip converts infrared to electrical signals that travel to the brain as vision
  • A zoom feature on the handheld computer allows magnification of letters
Measuring just 2mm x 2mm, the 'pioneering' implant is paired with a special pair of augmented reality (AR) glasses, equipped with a camera

Clinical Trial Results

The international study involved 38 patients across 17 hospitals in five countries. All participants had lost complete sight due to AMD, where light-sensitive retinal cells deteriorate over years.

After approximately one month post-operation, patients began rehabilitation to train their eyes with the system. They practiced using the device through puzzles, crosswords, and even navigating the Paris Metro.

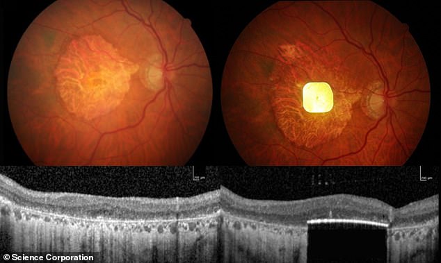
Remarkable results emerged one year later: 84% of participants (27 out of 32) showed clinically meaningful improvement in visual acuity. Those treated could read an average of five lines on a vision chart – some couldn’t see the chart at all before surgery.

In trials, participants were able to read letters, numbers and words using the prosthetic vision system. Pictured, image of the electronic chip in a patient's eye

Ms Irvine described life with AMD as “like having two black discs in my eyes.” She added, “I was an avid bookworm, and I wanted that back. There was no pain during the operation, but you’re still aware of what’s happening.”

Medical Significance and Future Applications

Currently, no licensed treatment exists for dry AMD, the most common form that causes severe central vision loss. The findings, published in The New England Journal of Medicine, could pave the way for regulatory approval.

While the team acknowledges potential adverse effects like retinal detachment and ocular hypertension, they conclude that “the benefits of the PRIMA system outweighed the risks of implantation.”

Professor Muqit emphasized the life-changing impact: “These are elderly patients who were no longer able to read, write or recognise faces due to lost vision. They’ve gone from being in darkness to being able to start using their vision again.”

The restoration of reading ability represents a major improvement in quality of life, mood, confidence, and independence for patients who had lost hope of ever seeing again.

Understanding Age-Related Macular Degeneration

AMD is a painless eye condition causing gradual central vision loss. As the most common cause of visual impairment in the UK and US, it affects approximately 600,000 UK adults and nearly two million Americans.

The condition blurs central vision, making reading and facial recognition difficult. While it doesn’t cause total blindness, it significantly impacts daily activities. AMD occurs when the macula – responsible for central vision – stops functioning effectively.

Risk factors include aging, smoking, and genetic predisposition. The condition typically affects both eyes, though progression rates may differ between eyes.

Latest

Former Meta contractor Sama to lay off more than 1,000 workers in Kenya

Former Meta contractor Sama to lay off more than 1,000 workers in Kenya

AI is a gold mine for spammers and scammers, but Google is using it as a tool to fight back

AI is a gold mine for spammers and scammers, but Google is using it as a tool to fight back

OpenAI policy chief slams AI doomers, says we need to have more responsible conversations

OpenAI’s David Lehane urges responsible discussions around AI, highlighting risks of extreme narratives and stressing the need for balanced public understandi

AI startup Cluely hiring engineer, says it will offer free home, food and even a partner in 1 year

San Francisco-based AI startup Cluely offers a unique job package including free housing, food, and a guaranteed partner after one year.

WhatsApp may soon introduce business chat filtering to reduce spam

WhatsApp reportedly working on a new feature to reduce spam and clutter. The purported feature will help users organise business messages and keep personal chat

Topics

Markets open flat as geopolitical tensions ease, but caution remains

The BSE Sensex was trading at 78,030.99, up 42.31 points or 0.05% at around 9:43 am. The Nifty 50, however, slipped marginally by 6.85 points or 0.03% to 24,189

Kerala SSLC Results in May, plus two on May 25, confirms education minister

Kerala SSLC and Plus Two Result 2026 dates have been officially announced, giving students clarity on when to expect their scores. The state has also rolled out

Who is Girija Ji? PM Modi meets veteran educationist after 30 years, praises her work

Prime Minister Narendra Modi’s Nagercoil visit blended politics and personal warmth as he reunited with veteran educationist Gomatam Veeraraghavan Girija afte

Lebanon ceasefire: Who said what? Bibi vows troops will stay; Trump hails talks ‘very exciting’ – How Iran reacts?

Iranian Parliament speaker Ghalibaf asserts that Lebanon must be included in any peace agreement between Iran and the U.S., emphasizing its importance for regio

‘Targeting of commercial shipping unacceptable,’ India calls restoration of safe navigation in Strait of Hormuz at UN

India's Ambassador Harish P raised concerns at the UN over threats to commercial shipping in the Strait of Hormuz, urging for safe navigation and calling for de

All-round Arshdeep Singh: Viral reels spiking Punjab Kings’ fanbase, says pacer

Arshdeep Singh took some credit for the spike in Punjab Kings' fan base, saying that his social media game is one of the reasons behind the increase in follower

Pope Leo after clash with Trump over Iran war, says world ‘ravaged by a handful of tyrants’

The remarks come as the pontiff continues an 11-day visit to Africa, using his platform to advocate for peace and international cooperation.

New York loses nearly $74 million for not revoking 33,000 illegal licenses for immigrant truckers

New York loses nearly $74 million for not revoking 33,000 illegal licenses for immigrant truckers
spot_img

Related Articles

Popular Categories

spot_imgspot_img